聂树斌案众生相:22年生死两茫茫…(组图)

  2016年6月25日,下聂庄村  张焕枝的22年申诉岁月  张焕枝家的院子里有两棵枣树、一棵核桃树,核桃树干细弱,跟她齐高,已经在试挂果。两年前村里土地统一流转,退耕还林,她家村前的两亩地夹在太行山东麓下的坡地里,如今是一片风过簌簌的核桃林。下聂庄村处在石家庄西郊25公里的鹿泉市,若从一条山前的柏油马路进村,修整一新的村道边绵延着宛如江南风格的白粉墙,一些有远见的村民在山前大道开起了欧陆风情的农家乐,然而这一切风貌对于张焕枝来说尽可忽略。

Continue Reading 聂树斌案众生相:22年生死两茫茫…(组图)

林更新携新欢见父母 小女友疑脚踏两只船(图)

    林更新    孙铱  今年9月,有八卦媒体曾拍到林更新与合作演员孙铱关系密切,为了证实二人的恋人关系更是对他们进行了2个月的跟拍,然而,让人惊讶的是,女方却被拍到与另一位神秘男子见面,到底是孙铱脚踏两只船还是三人另有关系?

Continue Reading 林更新携新欢见父母 小女友疑脚踏两只船(图)

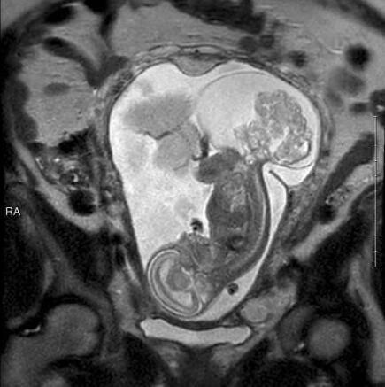
胎儿23周被取出子宫手术后放回 36周健康出生

    据CNN报道,美国德克萨斯州的玛格丽特-伯默怀孕16周的时候去做常规产检。不幸的是,产检时医生告诉玛格丽特胎儿患上了一种罕见的肿瘤。“医生告诉我胎儿已经患上了骶尾部畸胎瘤。我当时非常震惊,也非常害怕,因为我们从来没听过这种病,不知道会发生什么。”玛格丽特接受采访时说。

Continue Reading 胎儿23周被取出子宫手术后放回 36周健康出生

阿里巴巴一跃成全球最大零售公司

作者: 如雷贯头 如雷贯头 发表于 2016-10-14 11:23 | 阿里巴巴集团在周二一份递交美国证监会的文件中宣布,截至3月31日的财政年度,以商品交易总额(GMV)计算,阿里巴巴已成为全球最大的零售公司。 国际财经时报(International Business Times)报道,阿里巴巴尚未公布其第一季度以及2015年的全年财政业绩,然而周二递交美国证监会的文件已清楚表明,该公司全年营收将超过沃尔玛截至1月31日财年的4821亿美元。 3月21日,阿里巴巴集团副主席蔡崇信(Joe Tsai)在其博客中宣布,距离3月31日财政年度结束还有10天之际,阿里巴巴中国区零售市场平台的GMV已超过人民币3万亿元,约相当于4760亿美元。蔡崇信表示,如果阿里巴巴的市场平台是一个省的话,该公司已成为中国第六大经济省份。 财经博客Zero Hedge由此推算,阿里巴巴全年营收约达到4900亿美元,较美国旗舰零售商沃尔玛约高出80亿美元。

Continue Reading 阿里巴巴一跃成全球最大零售公司

支付宝继续免费 阿里市值暴涨至1.8万亿(图)

    此前,有消息称,对于移动支付产品而言提现或许要告别免费时代。继微信3月开始收取提现手续费后,支付宝也要开始对提现功能进行收费。支付宝方面表示,自2016年10月12日起,支付宝将对个人用户超出免费额度的提现收取0.1%的服务费,个人用户每人累计享有2万元基础免费提现额度。在用完基础免费额度后,用户可以使用蚂蚁积分兑换更多免费提现额度。支付宝方面称,最终选择对提现而不是在其他环节收费,是因为用户用支付宝支付的频次比提现高出很多。用户使用支付宝更多是用于各种消费、理财、缴费、还信用卡、手机充值等,提现的需求相对而言少一些。“仅对提现进行收费,用户受到的影响会相对小很多。”

Continue Reading 支付宝继续免费 阿里市值暴涨至1.8万亿(图)

中国游学团加州遇车祸 大巴以危险速度过弯撞树

  蒙特利公园(Monterey Park) A Top Line Tours旅行社的一辆满载中国中学生的游览车,24日下午在优胜美地国家公园外围发生车祸,造成一人死亡。伤者多为12至15岁华裔(专题)学生与家长,中国外交部领事馆保护中心和中国驻旧金山(专题)总领馆已出面协助中国公民及其家属。警方初步调查事发原因为弯道通过速度过快。

Continue Reading 中国游学团加州遇车祸 大巴以危险速度过弯撞树

郭德纲爱徒力挺恩师 疑斥曹云金:还字之前请闭嘴

    烧饼微博截图  自从郭德纲(专题)公布家谱,广大吃瓜群众分分在曹云金何云伟微博贴吧里监督他们,把名改了。许多天没有动静的曹云金忽然发了条微博,对老郭一顿讽刺,说他一贯 “含沙射影”对他们“赶尽杀绝”。对此,郭德纲也未作出回应,不过曾同为师门的烧饼,于9月5日凌晨晒德云社家规并发文,自诉师从郭德纲,大意是做人不能忘本,一日为师终身为父,力挺郭德纲。并表示:“有人出言不逊,犯我恩师!禽兽尚知眷念父母!总之,还字之前,请闭嘴”,疑似暗指曹云金。

Continue Reading 郭德纲爱徒力挺恩师 疑斥曹云金:还字之前请闭嘴