来源:倍可亲(backchina.com)
2岁小孩趁着大人不注意,玩起了气钉枪。谁知,一不小心就朝着自己开了一枪。结果不偏不倚,一颗5公分左右长的钉子竟然就射中了小心脏,差点让孩子丢了性命。寒假在即!专家提醒,孩子在家中玩耍,大人们务必要看管好,注意安全。
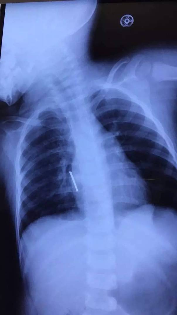
钉子在随着心脏的跳动起伏

钉子尖就靠近心脏
天呐!2岁男童照自己开了一枪
气钉枪打出钉的力度,厉害的可射穿1cm钢板
常熟市民许先生是做装修生意的,家里常备着装修用的各种器具,包括气钉枪等。2016年12月30日中午,许先生的2岁儿子阳阳(化名)在家玩耍,家长没有守着阳阳,一把气钉枪放在客厅的板凳上。阳阳平时比较调皮、爱动,于是就想玩玩气钉枪,他身体碰到了朝着自己的气钉枪的枪头,左手到处触摸气钉枪,一不小心扣动了扳机!
一瞬间,一把长5公分左右的钉子射进阳阳的心脏附近!据了解,气钉枪打出钉的力度很大,很有冲击力和杀伤力,速度一般60米/秒,厉害的可射穿1cm钢板!许先生看到此景,整个人都蒙了!带阳阳火速去医院,心里不停祈祷:“千万别刺到心脏!千万别……”


从片子上看,钉子尖就靠近心脏
紧急抢救!钉尖穿入右心房肌层
如果钉子再深入一点,那抢救都来不及了
许先生一家先是带阳阳到常熟当地医院,后紧急转往苏大附儿院。据许先生回忆,阳阳一开始并没有大哭,只觉得胸口很痛,甚至一度脸色苍白,有晕倒的迹象。苏大附儿院胸心外科副主任医师廖健毅接诊后,果断采取诊断方案。
“从片子上看,钉子尖就靠近心脏!如果直接拔钉子,钉子穿透心脏的话,会引起大出血,继而危及生命,也可能胸腔内存有大量积血会填塞心脏,十分危险。”

术后取出的钉子
在进行充分评估后,专家们决定手术打开胸腔,后发现钉子的钉尖已经穿入右心房肌层3毫米,造成胸腔积血150毫升!“如果钉子再深入一点,那抢救都来不及了。”所幸手术顺利,阳阳脱离了生命危险。
1岁到3岁,是儿童意外伤害的高发期
寒假在即!家长要留心孩子所接触的一切
手术结束后,阳阳转危为安,基本恢复正常,还不时玩起了玩具。许先生真诚感谢苏大附儿院胸心外科医生,说是他们从鬼门关里救回儿子一条命!回想起当时的一幕,许先生心有余悸:“想想就后怕,现在千万不敢让孩子远离大人的视线了,绝不能疏忽大意。
据苏大附儿院介绍,其实类似于阳阳这样意外伤害的事件,在苏大附儿院并不罕见。去年4月,一名3岁宝宝就被烧烤剩下的竹签插入了头部;去年3月,一名5岁男童则被剪刀戳进头部;去年7月,2岁女童被一锅粥烫伤;去年7月,一名6月大的宝宝则因玩吹风机被烧伤……诸如此类意外伤害的患儿已经不胜枚举。
对此,专家提醒,寒假即将来临,孩子在家中玩耍,大人们务必要注意安全,一定要把那些容易对孩子造成伤害的工具远离他们视线。幼儿期为意外伤害的高发期,从1岁至3岁这个阶段,孩子对于周围事物有着强烈的探索欲,但是对于危险因素没有认知和规避能力。“各位家长朋友应格外留心孩子所接触的一切事物和环境,让儿童远离意外伤害!”